Renfrew Dental Studio
Glasgow Dentist
dullleft dullrightsmall
Web_Banner Large


Why enlighten?

Guaranteed whiter smile

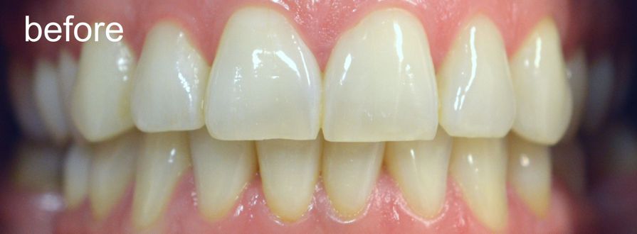
Enlighten Evolution Whitening is the world‘s best performing teeth-whitening treatment. We guarantee Vita shade B1 for every patient and long lasting whitening results with low sensitivity.

The difference with Enlighten Whitening is the results - whiten up to 16 shades!.

 

enlighten before
after
  • enlighten
    • Step one:
      Each Enlighten teeth whitening procedure starts with a consultation to  determine your suitability for the procedure. If it is a suitable treatment for you, an impression of your teeth is made for your whitening gel tray.
       
    • Step two:
      This impression is sent off to a dedicated lab where a set of custom made and super sealed trays are made. These whiten your teeth  over a 14 day period, using the supplied Enlighten teeth whitening gel
       
    • Step three:
      The final step in the Enlighten teeth whitening procedure is a 1-hour long deep bleaching treatment at our practice.

www.enlightensmiles.com

Enlighten Accredited Centre
Glasgow Renfrew Paisley